Fake Aufrufe bei Google Analytics durch Referrer-Spam
16. Mai 2015Windows 10 Update abgebrochen – Failed to mount WIM file
9. September 2015Ich bin männlich und 22 Jahre alt.
In Folgendem schildere Ich meine Erfahrung.
! Handeln Sie immer nach den Anweisungen Ihres Arztes !
! Beiträge im Internet kann jeder verfassen !
Bei einer Mandeloperation werden die Mandeln unter Vollnarkose entfernt.
Der Krankenhausaufenthalt beträgt zwischen 4 und 6 Tagen. (Operationstag = Tag 0)
Anschließend ist man zwischen 2 und 3 Wochen krankgeschrieben.
Nachblutungen können vorkommen, wobei die Wahrscheinlichekit bei ca 6% liegt.
Grund der Operation:
-> Häufige Mandelentzündungen seit über einem Jahr
-> Häufige Antibiotika Behandlungen
-> Zerklüfte, Vernarbte und geschwollene Mandeln
-> Ohrenschmerzen
-> Stinkende Mandelsteine
-> Trägegefühl
Mandel OP – Voruntersuchung
Zwei Wochen vor der Mandeloperation hatte ich im Krankenhaus eine Voruntersuchung.
Die Untersuchung hat den ganzen morgen gedauert.
-> Aufnahme persönlicher Daten
-> Ausfüllen von Fragebögen
-> Blutabnahme für Blutuntersuchung (Großes Blutbild, Blutgerinnungszeit, HIV und AIDS Test)
-> Blutdruckmessung
-> Untersuchung und Aufklärung durch Arzt, Narkosearzt
-> Unterschreiben eines Aufklärungsblatt
Mandel OP – Operationstag
Zum OP Termin musste ich mit nüchternen Magen ins Krankenhaus kommen.
-> Keine Essen und Trinken ab 22 Uhr
-> Kein Alkohol oder Milchprodukte am Vortag
Eine Halbe Stunde vor der Operation bekam ich noch eine Beruhigungstablette,
welche mich Beruhigen und die Narkose unterstützen sollte.
Mandel OP – Operation
Vor der Operation wurde ich 4 mal nach meinem Namen und meiner Beschwerde gefragt.
Anschließend wurde ich ans Bett gebunden und mir wurde eine Infusionsnadel gesetzt.
Danach hat man mir Sauerstoff über eine Beatmungsmaske eingeführt und die Narkose eingeleitet. Aufgewacht bin ich 2 Stunden später im Aufwachungsraum.
In meiner Hand hatte ich einen Becher mit meinen Mandeln 🙂
Mandel OP – Aufenthalt im Krankenhaus
Insgesamt war ich 4 Tage im Krankenhaus.
Ich sollte meinen Hals gut kühlen und viel Eis essen 🙂
Als Schmerzmittel bekam ich Voltaren Dispers und Tilidin (ein Opium).
Auf Wunsch gab es noch Tropfen.
Nach der Operation bildeten sich direkt die weiß, grünlichen Beläge (Fibrinbeläge).
In der ersten Nacht erhielt ich aufgrund meines stark geschwollenen Halszäpfchen eine Cortison Infusion. Schmerzen hatte ich größenteils in der Nacht und am Morgen.
Wobei mir in den ersten 2 Tagen das Schlucken schwer viel.
Mittags waren die Schmerzen dank den starken Medikamenten auszuhalten.
An jedem Tag hatte das Pflegepersonal mehrmals den Blutdruck, Fieber und Puls gemessen.
Ein Oberarzt untersuchte 2 mal täglich (für gefühlte 20 Sekunden) den Heilungsprozess.
Bis sich die Beläge lösten hatte ich einen leicht „fauligen Mundgeruch“.
Soll jedoch laut Arzt normal sein.
Duschen durfte ich ab dem 3 Tag. Jedoch nur lauwarm und ohne zu Föhnen.
Essen konnte ich nur, wenn ich vorher die Schmerzmittel genommen hatte.
Am Tag der OP und am nächsten Morgen gab es Brei und Pudding.
An den Restlichen Tagen gab es am morgen und am Abend Toastbrot mit Marmelade, Wurst, Quark und Yoghurt. Zum Mittagessen gab es Kartoffelsuppe mit Wienerle, Braten mit Kartoffelbrei, Geschnetzeltes mit Knödel.
Mandel OP – Zuhause
Nach dem Frühstück und einer Abschlussuntersuchung durfte ich wieder nach Hause.
Zum Auto zu laufen empfand ich als ziemlich anstrengend.
Bin also ziemlich langsam gelaufen, da sich mein Puls schnell erhöhte.
Mit dem Auto bin ich natürlich nur mitgefahren :).
Das Bremsen und beschleunigen verursachte jedoch leichte Schmerzen.
Morgens hatte ich immer ziemliche Schmerzen.
Nach der Einahme der Schmerzmittel war es jedoch auszuhalten.
Ab dem Tag 6 hatte ich immerwieder leichte Ohrenschmerzen.
Ab dem Tag 9 lösten sich langsam die Beläge. (Ein ziemlich brennendes Gefühl)
Ab dem Tag 14 hatten die Schmerzen nachgelassen, sodass ich die Schmerzmittel Dosierung senken konnte.
Mandel OP – Anweisungen die ich bekommen habe
-> Viel stilles Wasser trinken
-> Tee, jedoch lauwarm
-> Sich schonen
-> In den ersten Tagen viel Kühlen und Eis essen
-> Nach dem Essen mit Salviathymol spülen
-> Duschen ist ab dem 3 Tag möglich (lauwarm, max. 5 min, Haare Luft trocknen)
-> Keine Scharfe, Saure oder stark gesüßte Speisen
-> Kein Obst, Alkohol, Fruchtsäfte oder Kohlensäurehaltige Getränke
-> Nicht Rauchen
-> Keine Speisen mit „harten Kanten“
-> Nicht nur Breihaltiges, da sonst die Beläge zu dick werden und eine Nachblutung
beim Lösen der Beläge wahrscheinlicher ist.
-> Nicht warm duschen, auf keinen Fall Baden
-> Sich nicht zu lange in der Sonne aufhalten
-> Keine Anstrengende Tätigkeiten
-> Keine schweren Sachen tragen, anheben
-> Nicht Bücken
-> Keine Blutverdünnung Medikamente wie Aspirin (Acetylsalicylsäure)
-> Nicht Autofahren solagen die Schmerzmittel eingenommen werden
Mandel OP – Nachblutungsgefahr
Eine hohe Nachblutungsgefahr besteht in den ersten 3 Tagen und ungefähr am 10 Tag.
(Da sich die Beläge lösen). Ich selbst hatte zum Glück keine Nachblutung.
Im Falle einer Nachblutung:
-> Nacken kühlen
-> Blut ausspucken ohne zu würgen
-> Sofort den Notazt anrufen (112, nicht 110)
-> !Nicht selbst fahren oder sich fahren lassen!
Mandel OP – Mein Essen
(Schmerzmittel habe Ich immer eine viertel Stunde vor dem Essen eingenommen)
…im Krankenhaus
-> Toast mit Wurst, Marmelade, Quark, Butter
-> Butterkekse
-> Yoghurts
-> Kriesbrei, Pudding
-> Kartoffelsuppe mit Wienerle
-> Braten mit Kartoffelbrei
-> Geschnetzeltes mit Knödel
…zu Hause
-> Toast mit Wurst, Marmelade, Nutella, Quark, Butter
-> Yoghurts
-> Weichgekochtes Gemüse
-> Reis mit Hackfleischbällchen und Soße
-> Putenbrust mit Nudeln und Soße
-> Nudelauflauf mit Käsesahnesoße…
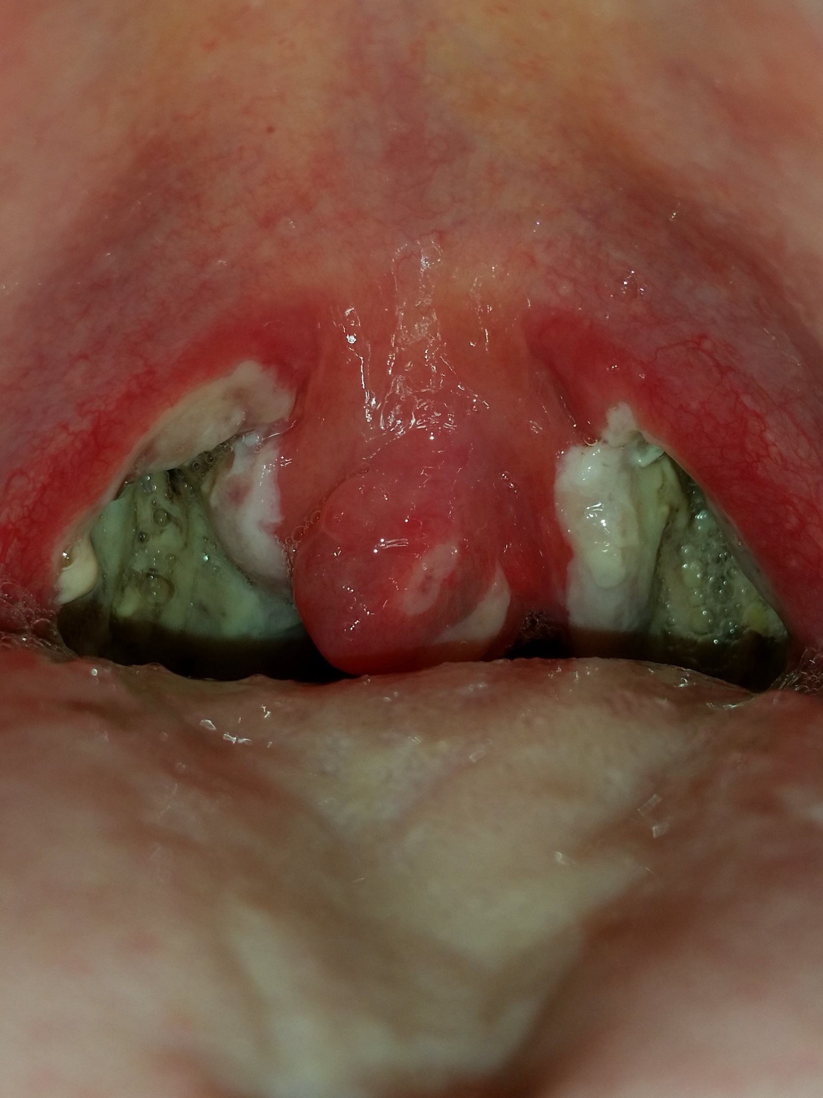
Mandel OP – Bilder Dokumentation Heilungsprozess
- Mandeloperation Tag 0
- Mandeloperation Tag 1
- Mandeloperation Tag 2
- Mandeloperation Tag 3
- Mandeloperation Tag 4
- Mandeloperation Tag 5
- Mandeloperation Tag 6
- Mandeloperation Tag 7
- Mandeloperation Tag 8
- Mandeloperation Tag 9
- Mandeloperation Tag 10
- Mandeloperation Tag 11
- Mandeloperation Tag 12
- Mandeloperation Tag 13














34 Comments
Bei dem Essen im Krankenhaus wird gleich der Grundstein für den nächsten Besuch gelegt!!!!
Sowas Knödeliges und reich an tierischem gabs bei meinem letzten Krankenhausaufenthalt auch.
Na die Bilder sehen ja reichlich lecker aus 😉 Und zum Essen: Gespart wird doch wo man kann. Wenn es schon nicht mal Umlagerungshilfen für das Personal gibt, dann bekommen Patienten doch erst recht nichts zu essen ;p
Danke für deinen ausführlichen Bericht…Ich überlege noch mir die Mandeln entfernen zu lassen da ich ständig krank bin aber ich habe so Angst davor ;-( ich bin was sowas angeht so wehleidig..Hatte schon ne bietenden op und das war die Hölle
Hey dein Beitrag ist super…. ich habe sie mir auch gerade entfernen lassen und bin nun bei Tag 7. Jetzt weiss ich an welcher Stelle ich stehe. Schmerzen sind bei mir nur mit Einnahme von Schmerzmitteln zu ertragen. Ich hätte sonst ständig Ohrenschmerzen sowie Zahnschmerzen. Bin aber dennoch froh es gemacht zu haben. Auch das wird bald ein Ende haben. Bin gespannt wie der weitere Verlauf bei mir sein wird. Hoffe nur ohne Nachblutungen, das soll wohl dann sehr sehr unangenehm sein.
Ich bin jetzt bei Tag 10 Post OP und mir geht es super! Brauche seit 3 Tagen keine Schmerzmittel mehr nehmen und der Hals sieht (trotz Massaker) 1a meines Erachtens aus!
Ich musste sie mir mehr oder weniger entfernen lassen, da die Mandeln bei mir der ,,Herd“ einer weiteren Erkrankung war. Jederzeit wieder.
Ich bin bei Tag 7. und es schmerzt leider immernoch und es brennt wenn ich was esse.. egal ob kartoffelpuree oder wasser trinken.. es brennt. ?
Hallo zusammen,
Schön hier so viele leidensgenossen zu treffen. Ich bin 24 Jahre und Wurde diesen Mittwoch operiert (19.04.2017) bin also jetzt Post OP Tag 3.
Meine Schmerzen sind leider ziemlich stark gerade morgens und nachts kaum zu ertragen. Essen geht nur unter Zwang, allerdings habe ich nach dem Essen immer das Gefühl dass es etwas besser ist.
Am Montag darf ich endlich aus dem Krankenhaus das macht mich nur noch kranker hab ich das Gefühl.
Seit heute kommen Ohrenschmerzen und druckgefühl im Kopf dazu. Die Schmerzmittel die ich bekomme helfen leider gar nicht und machen mir daher die Sache nicht erträglicher.
Eine OP war bei mir leider notwendig da ich innerhalb 3 Monate 6 Antibiosen und 6 tägigen KH Aufenthalt hintermir hatte. All das zerrt tierisch an den Nerven und deshalb bin ich froh es wirklich gemacht zu haben (was übrigens meine erste OP überhaupt war.)
Ich hoffe es geht jetzt Berg auf und es gibt weiterhin keine Blutungen das wäre definitiv zu viel für mich.
Liebe Grüße und allen noch gute Besserung
Hallo.Ich bin 18 und habe meine Mandeln vor 8 Tagen raus bekommen. Ich hatte kaum schmerzen die ersten 6 Tage. Ich war 3 tage im Krankenhaus und zuhause konnte ich chicken nuggets von mcdonalds essen und Pommes 😀 sind sehr weich gewesen aber lecker. Es gehen nur kleine Portionen weil sonst der Schmerz zu stark wird. An tag 6 hatte ich höllische schmerzen und musste zur Notaufnahme und sehr starke schmerzmittel nehmen. Die Nächte waren hart Bis heute ( postoperativertag 7). Habe seit 2 Tagen kaum was gegessen. Ich nehme novalgin 4x40tro. Eis essen geht überhaupt nicht. Habe schleim im Mund und den bekomme ich kaum runter. Trinke aber viel.
Hallo. Mir wurde am 15.10. in einer Not OP nur die linke Mandel entfernt. Es lag ein Abszess vor, welcher vom Arzt nicht gesehen wurde. Als ich Sonntag dachte ich ersticke wurde ich endlich zum HNO Notdienst überwiesen und nach einem CT war klar: Es wird operiert. Bin dann heute bei Tag 13 und habe beim Schlucken noch Ohrenschmerzen. Schmerzmittel von 4 auf 2 abgesetzt, einmal nach dem Aufstehen und eine zur Nacht. Allerdings wird der Appetit auf Pizza und Zigarette fast unerträglich 😀 Ab morgen darf ich Haare waschen. Ich sollte damit länger warten, weil mein Urlaubsflieger am 08.11. geht. Am besten mit mir.
Jenny, 27
Hallo ich bin 27 und hatte meine OP am 28.11.2017. Mit den Schmerzen konnte ich relativ gut umgehen, denn im Sommer hatte ich so starke Angina, dass die Schmerzen ziemlich an die OP Schmerzen ran kamen. Auf den darauf folgenden Tagen habe ich gleich Frankfurter, Weißbrot mit Marmelade und auch Semmelknödel bekommen. Ich habe mich richtig zum essen und trinken gezwungen, denn die Schwestern sagten mir, je mehr das man isst/trinkt desto eher vergehen die Schmerzen. Teilweise brauchte ich für ein Stück Frankfurter eine Stunde. Es war ein Horror! In der ersten Woche hatte ich in der Nacht die meisten Schmerzen (wachte teilweise 2x in der Nacht auf), denn da schluckt man ja nicht so oft wie am Tag. Genau eine Woche später am 05.12.2017 hatte ich leider eine Nachblutung (lt. Arzt war es nur ein kleines Blutgefäß). Der Arzt sagte auch, dass die Nachblutungen normal sind. 17% haben sie die anderen nicht. Die offene Stelle wurde „geflickt“ und dieser Tag war zugleich der letzte Tag zur Einnahme der Schmerztabletten (Voltaren). Die Woche darauf (2. Woche) durfte ich nur bei Schmerzen Novalgin Tropfen einnehmen. In dieser Woche verspürte ich nur mehr leichte Schmerzen die bis zum Ohr führten. Die Ohren waren teilweise zu/beschlagen. Die Tropfen nehme ich allerdings schon seit 09.12. nicht mehr. Am 12.12.2017 hatte ich den Kontrolltermin bei einem HNO Arzt. Dieser teilte mir mit, dass alles in Ordnung ist und dass ich mich noch nicht körperlich anstrengen darf (sprich snowboarden, langlaufen etc.). Weiters habe ich einen 2. Kontrolltermin in 2 Monaten bekommen?! Schmerzen habe ich schon seit einige Tage nicht mehr. Auch beim Essen taste ich mich schön langsam ran, denn dass spürt man e selber obs noch brennt oder nicht… Ich spüre nur das sich etwas in meinem Hals tut… als hätte ich Angina… oder einen Schleim im Hals. Die Stelle an der die Mandeln waren inkl. der Schleimhäute beim Gaumenzäpfchen sehen schon sehr schön aus, nicht so wie im Bild Tag 13. Leider habe ich den Arzt vergessen zu fragen wann ich denn wieder mal ein Glas Bier trinken darf oder wann ich dann wirklich wieder mal einen Sport machen kann. Muss ich für diese Dinge jetzt zwei Monate warten?!
Alexandra, 27
Hallo!
Mir wurden die Mandeln am 23.02.2018 rausgenommen und bin jetzt ebi Tag 11!
Ich hatte an Tag 7 eine nachblutung die operativ wieder verschlossen wurde! Seit dem nachbluten geht´s mir ehrlich gesagt viel besser! Ich konnte davor nix reden, hatte schmerzen ohne ende und das Essen war ne Qual!
Gleich am Tag nach der Nachblutung ging das alles super! War dann noch 2 Nächte im KH und bin dann heim.
Ich nehm jetzt zwar noch die Schmerzmittel (Novalgin Tropfen) 3mal am Tag, könnt sie aber einmal schon wegglassen!
Wenn ich mich ein bisschen überanstrenge oder zu lange auf den Beinen bin, kommt ein bisschen Blut mit Speichel vermischt, aber das wars auch schon!
Bei mir schaut es jetzt schon aus wie bei dir am Foto Tag 12-13
Also ich muss echt sagen, das die Nachblutung mir eher geholfen hat. als es verschlimmert hat!
LG Thomas
Moin Fatima und andere Leidensgenossen.
Als Allererstes, löse dich von deinen Mandeln im Erwachsenenalter oder informiere dich über die Erlösung der Tonsillen.
Meine Entfernung liegt nun 6 Tage her. Ich hatte das Glück und war unter den 8%, die eine Blutung bekommt. Und zwar am Selben Tag.
8:20 aus Narkose wach geworden und 18:07 wieder eingelegt.
Sowas kann einfach kommen, es ist normal, ohne irgendein zutun.
Ich möchte hier nicht alles notieren, ich bin nur auf der Suche, nach Hilfe für meinen Husten. Immer wenn ich schlafen möchte, dann piekt und Sticht meine rechte Mandel’ecke‘ so sehr das ich Husten muss. Und das Darf ich ja leider nicht.
Trinken hilft nicht, Husten auch nicht, weinen nicht. Das einzige ist bei mir Wasser in so ein ‚Inhalator‘ und ein Tropfen Kokosöl.
Klingt doof ist aber so
Hallo
Meine op war am 8.4.2019 bin 34 Jahre alt. Ich hatte auch nachblutung noch in aufwachraum ca 1 stunde nach der op.dannach folgte noch eine Narkose und noch mal löten.
Hab heute erst Tag 5 🙁
Schmerzen kann ich auch nur mit Schmerzmitteln aushalten dazu kommt noch schlimme Mundgeruch und Geschmack.
Was mich am meisten Stört ist das ich nicht schlafen kann, so bald ich liege bekomm ich kein Luft durch die Nase ( der Arzt weißt auch nicht warum) im sitzen oder stehen kann ich normal atmen. Weiß jemand was dagegen hilft?
Lg Emilia
Hallo
Und wie ist es dir ergangen? Wie geht es dir? Sind bei dir die beläge schon weg? Schmerzen? Ich hatte die mandel op 4 Tage vor dir und bin bei Tag 17 angelangt. Habe allerdings immer noch viel wund schorf und die Schmerzen sind noch stark… Frage mich wielange das dauert
Hey, bin echt vor diese Seite gefunden zu haben. Hatte am 15.05.2024 meine OP und bin 23 J.
Warum ich sie weg haben wollte? Hatte in den 2 Jahren gefühlt jeden Monat mandelentzündung und irgendwann waren die so gross das da kein von diese weisse Dinger raus kamen sonder Blut.
Da dachte ich mir ‚ok ne jetzt müssen die echt weg‘ auch wenn ich grosse angst vor OP habe.
Op lief reibungslos, krankenhaus war perfekt also super. Wurde am 21.05.24 entlassen und bin jetzt zuhause.
Jedoch habe ich ein riesen Problem.. seit der OP kann ich nichts essen, das essen schmeckt nach der Operation und leicht Metallisch. Ich kriege wirklich nichts rein nicht mal wassereis oder Tee. Alles schmeckt gleich. Ich habe vor der OP 55 gewogen und jetzt Grenze ich an 50. Ich finde keinen der mir sagen kann wann ich wieder normal schmecken kann. Auch wenn ich mich zwinge kommt alles wieder hoch. Bin so frustriert…
Habe die OP offiziell jetzt (wenn OP als 0 gezählt wird) 7 Tage hinter mir.
Hey 🙂
wollte mich mal kurz für deinen Bericht bedanken – hatte gestern meine Entlassung aus dem Krankenhaus und wie man halt so ist schaut man sich selbst in den Mund 😛 nachdem mir eine Tonsille entfernt wurde hatte ich nun diesen seltsamen Belag im Mund der mir mehr Sorgen gemacht hat als die Schmerzen 😉 dank dir weis ich nun dass ich mir hier keinen Kopf machen muss, da es scheinbar normal ist 🙂
lg
Manuel
Ich bin am 3. Tag mit OP Tag heute. Sieht genauso aus wie bei dir :/. Schmerzen sind absolut erträglich bis jetzt. Nehme alle 5 Stunden ein Schmerzmittel. Wenn es anfängt weh zu tun dann nicht mehr als ne kleine Mandelentzündung, und davon hatte ich genug die letzten Jahre. Einziges Problem bei mir, mein Zäpfchen ist überdimensional angeschwollen. Habe die letzten 2 Tage Cortison bekommen, heute sicher nochmal. Irgendwie hab ich nur das Gefühl es bessert sich nicht wirklich 😑.
Trotzdem bin ich froh es gemacht zu haben und kann all die Horror Geschichten die man liest BIS JETZT nicht bestätigen. Aber ich hab ja auch noch ein paar Tage vor mir :).
Zack, gestern abend ne fette nachblutung gehabt. Die war nicht ohne, sie haben es aber in den Griff bekommen. So viel Blut.. Jetzt hab ich nur noch Angst.
Hey Isabel,
Bei mir ist das Zäpfchen in der ersten Nacht auch richtig angeschwollen. In der ersten Nacht bin Ich aufgewacht, weil Ich keine Luft mehr bekommen habe.
Mit Cortison war das Problem schnell weg, aber schlafen konnte Ich in der Nacht nicht mehr 😀
Das mit der Nachblutung ist sehr doof. Schau nach vorne und mach dir keinen Kopf 🙂
Offen mit der Angst umzugehen, hilft dir sicher. Sprich mit deinen Nächsten 😊
Ist bei mir leider immer noch angeschwollen. Schmerzen halten sich seit heute mal in Grenzen. Ich leuchte natürlich ständig rein, hab das Gefühl an 2 Stellen auf der linken Seite eine rote Verfärbung zu sehen. Es blutet aber nichts, sieht für mich eher aus als würde „neue Haut“ durch schimmern. Meine Ärztin heute früh hat auch nichts dazu gesagt. Ich bin einfach froh wenn das vorbei ist 🙈. Seit gestern ( Sonntag) bin ich zuhause.
Hey, der wie vielte Tag ist es jetzt bei dir? Und wie geht es dir ?
Hallo,
Meine op war am 13.09.2021 und ich bin 15 Jahre alt. Wenn ich mir diese ganzen Kommentare durchlese, bin ich froh nicht die einzige “leidende” zu sein. Ich war leider auch von 2 Nachblutungen betroffen, welche zum Glück ambulant behandelt werden konnten. Es ist wirklich nicht schön und deswegen lege ich allen ans Herz: Viel Essen (nicht nur breiig sondern auch ein wenig festere Nahrung) auch wenn es kaum zu ertragen ist und auf keinen Fall anstrengen (klingt blöd, aber auch nicht auf der toilette!) Dies sind meistens die ausschlaggebenden Punkte einer Nachblutung. Und zwecks den schmerzen, ich habe selbst erst am 11. Tag Besserungen gespürt. Also keine Gedanken machen wenn die Schmerzen länger anhalten als bei manch anderen Leuten die ihre Erfahrungen berichten. Abschließend kann ich nur sagen: Es wird besser! Schont euch und befolgt die Ratschläge und Kontrolltermine eures behandelnden Arztes dann kann nichts schief gehen 🙂
LG
Freut mich über euren tollen Erfahrungen lesen zu können.
Leider gibt es, wie bei mir aber, auch die Kehrtseite. Innerhalb von 5 Tagen seit der normalen Op 4 Not Ops inkl. 2 Tage Koma und eine 20 cm lange Narbe am Hals entlang 😀
Nach insgesamt 11 Tagen Krankenhaus stehe ich aktuell bei Heilungstag 6/7 erst, Essen ist kaum möglich (leider auch psychologisch bedingt) Trinken jedoch funktioniert sehr gut. In 2 Tagen werden die Fäden gezogen und der Hals nochmals kontrolliert und selbstverständlich hoffe ich das Beste.
Ich bete wirklich das es bei euch allen niemals so laufen wird wie bei mir. Da wollte man sich mit frischen 30 Jahren nur die ständig defekten Mandeln entfernen lassen und naja. Ganz selten kommt das halt dann auch mal vor.
Hallo, ich wurde am 3.3.2022 operiert und wurde schon am 5.3 entlassen.
Nach der Op im Aufwachraum war ich so verschleimt das ich husten musste und spuckte Blut war jedoch nicht weiter tragisch und die Wunde hat sich dadurch nicht verändert.
Der 1.Schluck Wasser jedoch war Hölle und brannte. Die 1.Nacht war gut, ohne Schmerzen die 2. auch , aber zuhause fings an mit den Schmerzen.
Mich wundert es, dass soviele einigermaßen „normal“ wieder essen konnten nach der Op. Ich bekam Suppe, Brei und 1Weißbrot. Zuhause nun 8 Tage danach ernähre ich mich nicht anders..weil ich nichts anderes hinunterbekomme ohne das es wehtut und brennt. Die Beläge oberhalb lösen sich langsam. Die Nächte sind noch schlimm und wache bis zu 2x auf weil ich das Gefühl habe trinken zu müssen um mein Hals feucht zu halten sonst brennt mir alles zam.
Nach 1 Woche Antibiotikum und
weiteren Tagen Novaminsulfon Tropfen bekam ich auch noch zusätzlich Cortinsontabletten um die Schwellung im Hals zu mindern. Dadurch viel mir auf, dass der geschwollene Gaumenzipfel abschwillt. Anschließend bekam ich noch eine milde Pfefferminzlösung zum spülen. Bin auf die weiteren Tage gespannt was sich noch so tut . Jedenfalls bin ich schon mal froh es gemacht zu haben , auch wenns ein sehr schmerzhafter und langer Heilungs Prozess ist .Denn mit meiner ständig chronischen Mandelentzündung und Antibiotika schlucken wars mir zuviel.
Hallo zusammen ich bin 26 und ich wurde am 02.03.22 operiert, heute ist Tag 9 für mich. Nach der Operation war mein Gaumen + Zäpfchen angeschwollen, wogegen ich Cortison bekommen habe. Die Schmerzen waren für mich in den ersten beiden Tagen nicht sehr schlimm, jedoch war essen und trinken schwierig. Ab Tag 3 fing es für mich an, richtig zu schmerzen und essen und trinken geht kaum (schmerzt einfach zu sehr) am Tag der Entlassung, stellten sie fest das sich die Wunden entzündet haben und ich bekam Antibiotika das ich 8 Tage nehmen muss. An Tag 7 und 8 hab ich Nachblutungen bekommen, die ich selbst behandelte mit Eiswasser Spülen und Eiskrawatte (bitte nicht nachmachen und zum Notarzt gehen) wohin die Blutung aufhörte.
Das starke Ziehen in den Ohren ist wirklich heftig und fühlt sich an wie Zahnschmerzen in Verbindung mit einer Ohrenentzündung… ich hoffe das wird bald besser. Zum Thema essen und trinken: ich kann es empfehlen, sich eine große Kanne Tee (Salbei oder Kamille) zu machen und kalt zustellen. Salbeitee hat auch noch die Angewohnheit, desinfizierend zu wirken, was bei solchen Wunden nicht grad schlecht ist. Ich hoffe ich kann bald wieder feste Nahrung zu mir nehmen, Brei, Pudding und Suppe, hängt mir langsam zum Halse raus. Toast geht leider nur aufgeweicht, aber das kennen die meisten wohl.
Es ist schön, das man nicht alleine ist auf seinem Leidensweg und seine Erfahrungen teilen kann.
Hallo liebe Mitleidende,
bin nun am 6. Tag nach der Op angekommen und weiß seit ein paar Tagen nicht mehr, was ich mit meiner Zeit anfangen soll. Essen geht ganz okay, abgesehen von der Tatsache, dass ich kaum etwas schmecke und Angst vor einer bleibenden Schädigung der Zunge habe… (: Da hilft nichts, außer abzuwarten. Gestern ging es mir schmerztechnisch besser als heute. Auf der linken Seite habe ich kaum Schmerzen, wohingegen es mir rechts seit dem Op-Tag bis ins Ohr reinzieht und rechts ist der Wundbelag an einer Stelle besonders dick. Habe das Gefühl, dass die richtig schmerzhaften Tage noch vor mir liegen, hoffe jedoch auf keine Nachblutungen (nach der OP hatte ich eine, die sich jedoch nach mehreren Stunden von selbst legte).
Hallo ihr Lieben,
heute ist Tag 11 nach meiner OP. Ich hatte nach der Narkose überhaupt keine Schmerzen und hab mich richtig gefreut! Leider kam dann Tag 1 und dann fing der ganze Spaß an. Die Schmerzen waren schon Recht stark, aber nicht zu vergleichen mit stark entzündeten Mandeln (Kissing tonsils), welche mir sogar das Schlucken meines eigenen Speichels unmöglich machten.. Ich hatte leider gleich nachdem ich nach Hause gekommen bin (Tag 5) eine Nachblutung und musste mit dem Rettungswagen in die Klinik. Da wurde eigentlich nichts großartiges gemacht außer eine Eiskrawatte anzulegen. Mir wurde auch nochmals mitgeteilt, dass sowohl das Trinken wie auch die Zunahme von festem Essen essenziell für den Heilungsprozess seien, da die Beläge sonst zu dick werden. Leichter gesagt als getan bei den Schmerzen…. aber das durchalten zahlt sich aus und die Beläge schaben sich dadurch ab, was zu einer Verminderung der Problematik führt. Aus eigener Erfahrung kann ich euch sagen, trinkt was geht, esst Eis soviel es geht und nehmt die Schmerzmittel ca. 25-30 Minuten vor dem Essen ein – dicke Beläge führen zu stärken Schmerzen und Husten! Für mich ein Problem auch jetzt noch an Tag 10 ist einfach das Essen… Ich weiß einfach nicht was! Keine Tomaten, keine Früchte, keine Milchprodukte, nichts was bröselt, nichts was zu hart (Schwarzbrot mit Rinde sollte man essen) oder zu gewürzt ist – da bleibt nicht mehr viel über. Aber es geht wieder bergauf und irgendwann ist der Schmerz weg und das Beste an dem ganzen sind nie wieder so schmerzhafte Mandeln und keine Entzündung eben dieser!
LG
Hallo
Ich hatte am 16.05.22 meine Mandel op liegt genau 8 hinter mir.
Es war das schlimmste was ich an Schmerzen gefühlt habe dabei habe ich 3 Geburten hinter mir 🙄
Hier meine Erfahrung.
Tag 0.
Bin um 8 Uhr ins Krankenhaus gegangen um ungefähr 9:30 lag ich schon auf dem op Tisch/Bett hab mir gegen das einschlafen gewährt bis die Ärztin gesagt hat jetzt mach mal die augen zu und entspann dich zack weg war ich.
Um 10.15 war ich im aufwachraum wo ich nichts mehr gecheckt habe im Nachhinein stellte sich heraus mein Blutdruck war im Keller 🙄 3 Stunden später wurde ich zur Station gefahren worauf ich 2 Scheiben Brot ohne Rinde bekommen habe dank der Narkose ging es ziemlich gut mit dem Essen.
Tag1
Die Nacht war kurz die schmerzen hielten sich aber bis dato noch in Grenzen 😬😬
Tag2
Mitten In der Nacht wach geworden wegen höllische schmerzen hab etwas dagegen bekommen geholfen hat es aber nicht ich habe dadurch leider Durchfall bekommen. Die Stunden gezählt bis ich die nächste Voltaren dispers nehmen konnte.
Essen ging sehr schwer jeder schluck tat weh nichts hat wirklich geholfen trotz Schmerzmittel sobald ich Essen wollte und es versuchte brannte mein Hals so sehr..
Tag 3
Das gleiche leid wie am Tag 2🙄
Tag 4
Die schmerzen waren wie Tag 2&3 Essen ging kaum getrunken habe ich aber bis zu 2 Liter von Anfang an und ich durfte heim fahren.
Tag 5
Hier ging nichts mehr schmerzen ohne ende nichts hat geholfen ich dachte ich sterbe vor schmerzenen bin zur Notaufnahme gegangen kam raus das ich eine entzündung habe mit Eiter 😭 hab Antibiotikum bekommen Voltaren Kapseln und Schmerzmittel Tilidin
Tag 6
Nach dem ich die 2te Tablette Antibiotikum genommen hatte und sie langsam gewirkt hat ging es mir gut ich habe 2 Milchbrötchen essen können und Natur Joghurt mit Zwieback
Tag 7
Bis auf meine Ängste das ich eine nachblutung bekomme geht es mir sehr gut ich essen fast Beschwerden frei trinke viel und bis auf leichte schmerzen und kratzen habe ich kaum was
Ich hatte eine sehr unangenehme Erfahrung durch die Beläge gemacht es hatte sich ein etwas wohl dickeren Teil abgelöst und ich hab es gespürt wie es ganz langsam runter ging das war Schock und ekelhaft 🤢
Tag 8
Heute fällt mir auf das ich links seid Tagen keine schmerzen habe nur spüre ich die Beläge und es ist unangenehm wie es sich anfühlt rechts hab ich ab und zu ein kleines ziehen brennen aber an sich ist es auszuhalten.
Ich nehme seid Tag 7 nur noch Voltaren dispers und mein Antibiotikum und es geht mir gut ich benötige 3× Schmerzmittel
Morgens ist es noch etwas unangenehm aber nicht arg schmerzhaft.
Fazit Tag 3-6 waren bis jetzt der horror für mich seid dem Antibiotikum geht es mir sehr gut ich hoffe es bleibt weiterhin so und ich bekomme keine Nachblutung.
Hallo ihr lieben, meine op ist jetzt 8 Tage her. Glücklicherweise hatte ich bis jetzt keine Nachblutung jedoch kann ich nicht essen. Seit gestern sind die Schmerzen mit Schmerzmitteln erträglich. Sobald ich aber essen (suppe, Püree, Joghurt) anrühre bzw. schlucke, entsteht ein starker Schmerz der sich in die Ohren hoch zieht. Ich hab die ganze Zeit mit Übelkeit und Erbrechen (ohne Blut) zu kämpfen weil mein Magen sich nicht fühlt da die Schmerzen zu stark sind. Auch Wassereis kriege ich fast nicht mehr runter da es für stärkere Übelkeit sorgt. Ich hab viel gelesen und ein wenig Angst das die starken Schmerzen noch länger anhalten. Ich habe im Krankenhaus in dem ich operiert wurde angerufen und die meinten die Ohrenschmerzen seien vollkommen normal. Meine Schmerzmittel konnte ich gestern auch von 4 am Tag auf 3 am Tag senken was ich als ersten richtigen Fortschritt betrachte. Ich hab immer sehr viel Speichel der sich sammelt den ich kaum schlucken kann. Was ein wenig hilft ist fast dauerhaftes kühlen von außen und Druck auf die Ohren beim schlucken. Neben den Schluckbeschwerden hab ich auch leichte Schmerzen beim sprechen weshalb ich sehr wenig rede. Zu guter letzt kommt bei mir ein Gewichtsverlust dazu, 6kg habe ich in den letzten 8 Tagen verloren was das Problem mit dem Essen nochmal verdeutlicht. Ich versuche die 2 Liter am Tag zu trinken in der Hoffnung das es erstmal ausreicht und den ein oder anderen Joghurt zu essen.
Allen eine gute Besserung ❤️🩹
Hallo Mitleidende,
Gott sei Dank habe ich diese Seite gefunden, sie ist Goldwert. Wenn man selbst in der Position ist eine Mandel OP gemacht zu haben und kurz davor zu stehen, möchte man sich einfach mit anderen austauschen.
Ich möchte etwas tiefer in die Nachblutung eingehen, denn diese machen doch am meisten Angst.
Kurz zum Verlauf:
OP war super, kurz im Aufwachraum und dann gings schon aufs Zimmer. Bisschen schlafen, essen und trinken, alles kein Problem. In den Nächten 1 und 2 hatte ich etwas Probleme mit dem Atmen da mein Zäpfchen überdimensional angeschwollen war – > Cortison und es war besser.
Ab dem 3 Tag nach OP fingen die Schmerzen an. Vorallem Nachts und Morgens ist es sehr unangenehm. Die Einnahme der Schmerzmittel machte es mir aber bisher immer gut erträglich:)
Essen, auch wenn es 2 Stunden dauert ging irgendwie und ist auch wichtig.
Am 6. TAG Post OP durfte ich nach Hause. Erstmal war die Freude da. Da ich alleine lebe war für mich aber klar, dass ich nicht einfach auf der Couch liegen kann. Der Gang zur Apotheke (für die Arznei) zum Rewe (für das ganze Wassereis) waren für mich unerlässlich. Doch war das schon zu viel?
Mein Hals schmerzte an dem Abend sehr. Gerade hatte ich mich hingelegt merkte ich, wie sich mein Mund mit warmer Flüssigkeit füllt und zwar ziemlich schnell. Panik. Auf ins Bad einmal alles ausspucken. Oh man war das ne Menge Blut dachte ich zuerst. Anschließend schnell in die Küche einen Eisbeutel aus dem Gefrierschrank und auf den Nacken geschleudert. In der Zeit hab ich ne Ladung Blut geschluckt was zwar unangenehm war, in diesem Moment aber Nebensache. Zurück im Bad mit dem Handy in der Hand das Waschbecken mit mehr und mehr Blut gefüllt. Es sprudelte grade so aus mir heraus.
Trotz allem habe ich einen Moment gezögert den Notruf zu wählen. Vllt lässt es ja nach oder ich übertreibe in meiner Panik. Also nochmal den Puls etwas runter fahren und Fakten zusammenstellen. Der Mund füllt sich weiterhin mit Blut vllt schon etwas langsamer als vorher. Am nervigsten dabei ist der Schorf der da mit rauskommt… Widerlich, einfach nur widerlich.
Nunja, es hört nicht auf zu bluten, also die 112 anrufen. Hallo ich bin…….. Ich hatte eine Mandel Operation, bin wieder zu Hause und habe jetzt heftige Nachblutungen. Während ich das erzählt habe musste ich 2 mal meinen Mund vom Blut befreien.
Der Gegenüber frage dann, ob ich selbst ins Krankenhaus fahren kann. 😀
Ich musste kurz lachen… Ich glaube er versteht nicht, dass ich gleich umkippe, ich blute wie ein Schwein.
Nungut ich soll ruhig bleiben er schickt einen Wagen vorbei.
Zum Ende des Gespräches war es schon etwas weniger Blut was mir in meinen Mund schoss. Doch wie viel ist es eigentlich, was ich da verliere? Ich hab tatsächlich einen Messbecher genommen dort hineingespuckt um zu sehen, die viel Blut ich denn verliere. Doch, jetzt wurde es schon weniger. Gott sei Dank ich werde wahrscheinlich nicht verbluten. Meine Retter waren tatsächlich recht schnell da. 10 – 15 Minuten. Ich lebe auf dem Land und im Dorf nebenan ist ihre Station?! Zudem war es schon 22h30, also kein Verkehr im Dorf.
Nun gut, verloren habe ich vllt so ein Viertel bis ein Drittel Ikea Glas voll mit Blut. Ich glaube denke im Nachhinein, dass unser starkes Geschlecht monatlich auch mal mehr Blut verliert und sie leben alle noch.
Ich möchte euch meine Nachblutung schildern, damit ihr vllt selbst etwas besser damit umgehen könnt bzw. euch darauf einstellen oder vorbereiten könnt. Man stirb nicht von dieser Menge an Blutverlust und es würde bei der größe der Wunde auch sehr lange dauern bis man nur in die nähe des kritischen kommt.
Das gute ist, dass unser Körper selbst reagiert und das „Leck“ versucht zu reparieren. Das macht er dadurch das er das Blutgefäß verengt. Zudem hilft bestimmt auch das Eis Im Nacken.
Solltet ihr nun also eine Blutung bekommen = > Eis in den Nacken, beruhigen, 112 wählen und am besten alles in einen Messbecher. Die Blutung hört dann in den allermeisten Fällen von selbst auf. Man geht trotzdem ins Krankenhaus, da nochmal etwas nachkommen könnte. Und glaubt mir ich wollte ins Krankenhaus. 😀
Heute ist der Tag nach der Blutung. Der Arzt war wie immer nett, freute sich mehr mich zu sehen als ich Ihn und erklärte mir, dass sie mich jetzt nochmal 24h hier behalten. Wenn nochmal eine Blutung kommt dann in dieses 24 Stunden. Es geht mir heute gut. Kreislauf ist wieder stabil.
Ich frage den Arzt morgen ob ich noch einen Tag hier bleiben darf 🙂 zuhause verkrafte ich die Kacke nicht nochmal. Und die kritischen Tage sind dann ja schon fast vorbei.
Hallo,
bin 39 und hatte meine OP vor genau einer Woche. Schmerzen hatte ich erstaunlich wenig, habe gleich nach dem Aufwachen aus der Narkose 2 Liter getrunken und Pfannkuchen gegessen. Auch die nächsten Tage waren die Schmerzen absolut auszuhalten, habe 3x täglich eine Ibuprofen 400mg genommen, aber konnte ganz normal trinken und essen. Auf einer Skala von 1 bis 10 würde ich die Schmerzen als eine 6 einordnen.
War also eigentlich alles super. Leider am fünften Tag auf einmal morgens eine starke Nachblutung nach dem Zähneputzen bekommen, hab paar mal einen Hals voll Blut geschluckt und bin mit dem Krankenwagen in die Notaufnahme gekommen. Zum Glück hatte die Blutung dann mittlerweile von selbst aufgehört und ich bin zwei Tage im Krankenhaus zur Beobachtung. Heute am 7.Tag hätte ich dann eigentlich wieder aus dem Krankenhaus entlassen werden sollen, aber leider hatte ich heute morgen um 6:00 Uhr wieder eine Blutung. Diesmal hat die Ärztin sie durch Raufpressen mit Wattetupfern gestoppt. Das war extrem unangenehm, weil ich dabei ständig würgen musste.
Ich werde jetzt erstmal noch mindestens weitere zwei Tage im Krankenhaus bleiben und bin mittlerweile ziemlich durch mit den Nerven. Ich habe große Angst, daß das ganze in den nächsten Tagen wieder passieren könnte. Schmerzen habe ich mittlerweile jedoch fast gar keine mehr. Meine Belege sehen am 7.Tag ungefär so aus wie oben in Bild 13.
Insgesamt für mich also echt eine unheimliche Erfahrung und ich bereue die Operation mittlerweile ehrlich gesagt. Selbst wenn ich das überstanden hab, wird es eine Zeit dauern bis ich dieses Trauma verarbeitet habe und meinem Hals wieder richtig trauen kann.
Hallo ihr Lieben, Ich bin 30 Jahre alt und hatte meine op jetzt genau vor 7 Tagen.
Zu meinen bisherigen Erfahrungen:
Die ersten 2 Tage nach der OP hatte ich wenig bis gar keine schmerzen. An Tag 3 waren sie dann etwas stärker und ich musste in der Nacht 3 mal nach Schmerzmitteln fragen. Samstag durfte ich dann nach einem kurzen Check nach Hause (op war am Dienstag 19.08.25)
Und ab da ging es dann bergab!!
Schmerzen wurden von Tag zu Tag immer schlimmer. Ich wache mehr mals in der Nacht auf und die Tage überstehen ich nur mit sehr viel Schmerzmittel ( Novaminsulfon 4× täglich und 1 Tilidin abends) die allerdings kaum noch Wirkung zeigen.
Trinken geht solange es stilles Wasser und eiskalt ist, Tee brennt sehr stark benutze ich aber zum ausspülen.
Essen ist der absolute Horror ich versuche es zu vermeiden nur Suppe und Brei zu essen also quäle ich mich mit Toast, mehreren Milchbrötchen und Käsewürfel durch den Tag ( da man ja für die Wundbeläge auch etwas festere Nahrung zu sich nehmen soll )
Tag 6 und 7 überstehen ich nur noch mit dauerhaften kühlen von Nacken und linker Halsseite da da die schmerzen am schlimmsten sind … zieht bis in die Ohren und ist sehr unangenehm.
Mein Mund ist ständig gefüllt mit dicklichem Speichel den ich kaum geschluckt bekomme. Meine Wundbeläge sehen genau so aus wie auf den oberen Bildern, Nachblutungen hatte ich bisher zum Glück noch keine! Ich fühle mich körperlich total erschöpft und weine tatsächlich auch sehr viel 🙁
Mein Mann und mein Sohn 4 Jahre tun alles was sie können um es mir so angenehm wie möglich zu machen.
Heute hatte ich mal kurz Panik da die schmerzen selbst mit tilidin nicht auszuhalten sind aber eure ganzen Beiträge haben mich dann tatsächlich wieder etwas beruhigt.
Ich hoffe dass die Nachblutungen aus bleiben und die schmerzen jetzt dann irgendwann schwächer werden.
Diese Schmerzen wünsche ich wirklich niemanden und bin froh dass man das dann doch nur einmal in seinem Leben ertragen muss. Ganz liebe Grüße an alle. .. haltet durch 🙂
Grüße
Meine ersten 9 Tage von meiner Mandel op ist rum und es waren die schlimmsten 9 Tagen meines Lebens
Ich wurde am 26.11.2025 operiert da waren die Schmerzen recht ok
Die nächsten 2 Tage (27-28.11) Nahmen die schmerze zu was natürlich normal ist habe aber im Krankenhaus nur chemischen Pudding bekommen wovon ich gekotzt habe
Am 29.11 und 30.11 habe ich zum frühstück Suppe mit einem Toast bekommen und zum Mittag Spinat mit Ei
Ich habe mich am 30.11 selbst entlassen das ich das Gefühl habe das etwas komisch ist
Dann kam am 01.12 Tag der eigentlichen Entlassung die erste starke Nachblutung worauf ich wieder ins Krankenhaus gebracht wurde (Natürlich mit RTW) worauf sie aber nix gemacht haben da es wieder aufgehört hat, und habe mich entschieden 2 Nächte zu bleiben.Ich hatte im Krankenhaus dann an dem 02.12 auch 2 Nachblutungen früh nur leicht aber dann kam Abend die nachblutung die alles geändert hat… Ich habe das Blut wie ein Wasserhahn verloren und auch ausgekotzt worauf die Stelle verödet wurde was leider sehr schmerzhaft war…An dem 03.12 hatte ich öfter kleinere Nachblutungen 3 mal insgesamt. An dem 04.12 wurde ich entlassen und war 3 Stunden später wieder drinne weil die Blutung wieder so stark war wie an dem 02.12 worauf sie es wieder verödet haben und ich mich dann aber selbst entlassen habe da ich nicht mehr im Krankenhaus sein konnte ohne Panik. Jetzt haben wir den 05.12 und heute läuft alles super die Schmerzen gehen weg sobald die voltaren Tabletten nehme und meine Mandeln sehe schon so aus wie auf Bild Tag 13 ich hoffe einfach das die heilung schnell vorbeigeht
Worauf ich stolz bin ist das ich es geschafft habe mit Rauchen,Kiffen und Energy trinken aufgehört zu haben weil ich dazu gezwungen bin
Hallo liebe mandellose Menschen!
So auch 2026 geht es weiter:
Ich bin 27 Jahre alt und heute bei Tag 7, wurde an einem Montag operiert und habe mich Freitag selbst entlassen: das war auf jeden Fall die richtige Entscheidung
Nachts geht’s immer nicht so gut, seit gestern geht es mir deutlich schlechter, leider auch tagsüber. Die Tage im Krankenhaus waren zumindest tagsüber erträglich.
Ich bekomme von meinem Arzt aber leider auch nur 600er Ibuprofen verschrieben, das wirkt grade leider GAR NICHT, auch nicht gepaart mit 1000er Paracetamol.
Die Schmerzen sind grade einfach nur frustrierend, der HNO meinte, dass meine Beläge noch sehr dick sind
(Obwohl ich schon am 2. Tag mit fester Nahrung begonnen habe)
Habe durchgehend stechende Schmerzen, die beim schlucken schlimmer sind und ordentlich ins Ohr ausstrahlen, allerdings nur einseitig
Ich hoffe, dass die Schmerzen endlich abnehmen, denn bisher bereue ich die OP einfach nur und ich persönlich würde zumindest vom jetzigen Zeitpunkt jedem davon abraten 😂
Freue mich aber über die Plattform hier, hat mich dann doch etwas beruhigt